Haberdar Gazetesi Yaşam Korkunç tablo! Sadece 18 ay kullandı ve bu hale geldi

Korkunç tablo! Sadece 18 ay kullandı ve bu hale geldi

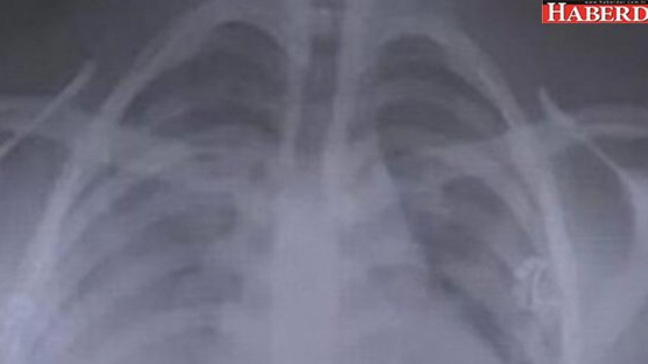
ABDde 18 ay elektronik sigara kullanan bir genç, akciğerlerinde ortaya çıkan gizemli bir hastalıkla karşı karşıya kaldı.

Illinois eyaletinde yaşayan 18 yaşındaki Adam Hergenreder şu anda 70 yaşında bir kişinin akciğerlerine sahip.

Geçen ay hastaneye kaldırılan ve durumunu öğrenen genç öğrenci, “Bu küçük aletin ciğerlerime yaptığı şeyi düşünmek korkutucu” dedi.

CNN’in haberine göre; Adam, ABD’de elektronik sigara kaynaklı gizemli akciğer hastalığına yakalanan ve çoğu geçen yaştaki yüzlerce kişiden sadece biri. Fakat doktorlar, bu hastalığa neyin yol açtığını henüz tespit edebilmiş değil.

ABD’de elektronik sigaralarla ilgili bir düzenleme yapılması yolunca çağrılar artarken, Başkan Donald Trump Yönetimi, tütün dışında diğer tüm aromalı e-sigara likitlerini yasaklamaya hazırlanıyor.

Bu hastalık başına gelmeden önce eğitim gördüğü üniversitede güreşçi olduğunu söyleyen Adam Hergenreder, “Bir daha güreşemeyebilirim, çünkü güreş çok fiziksel bir spor ve ciğerlerim o eforu kaldıramayabilir” dedi.

ABD Hastalık Kontrol ve Önleme Merkezi, ülkede elektronik sigara bağlantılı olması muhtemel 450’yi aşkın akciğer hastalığı vakası bulunduğunu açıklarken, kurum bu durumu “salgın” olarak nitelendiriyor.


 Yetkililer, California, Illinois, Indiana, Minnesota, Oregon ve Kansas’ta elektronik sigara bağlantılı altı ölüm yaşandığını teyit etti.

 
 
 

Yorumlar
* Bu içerik ile ilgili yorum yok, ilk yorumu siz yazın, tartışalım *